Servicios
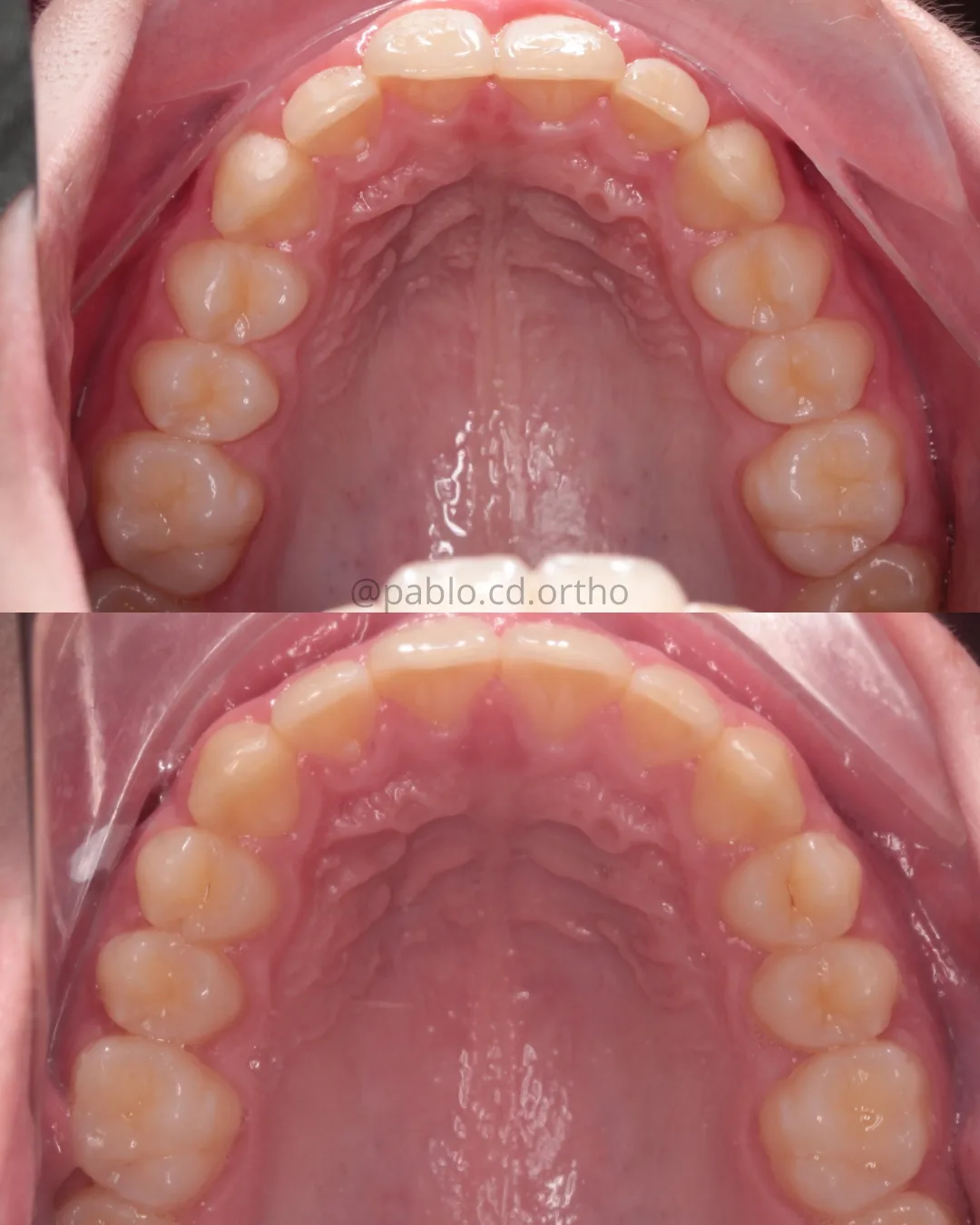
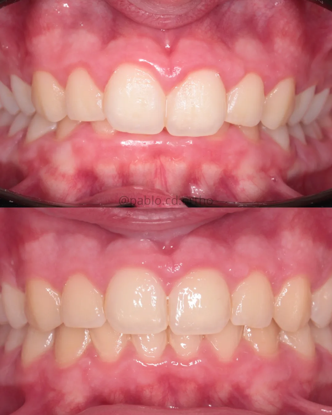
Servicios de Ortodoncia y Ortopedia
Nos destacamos por ser expertos en los servicios de Ortodoncia Invisible ofreciéndote tratamientos discretos y altamente efectivos.
Empastes (Obturaciones)
Tratamiento de caries utilizando materiales estéticos (resinas compuestas) que imitan el color natural del diente.
Extracciones Dentales (incluidas muelas del juicio)
Cirugía oral realizada con un enfoque mínimamente invasivo y el máximo confort.
Carillas Dentales
Solución rápida para corregir imperfecciones como fracturas, separaciones o dientes mal alineados.
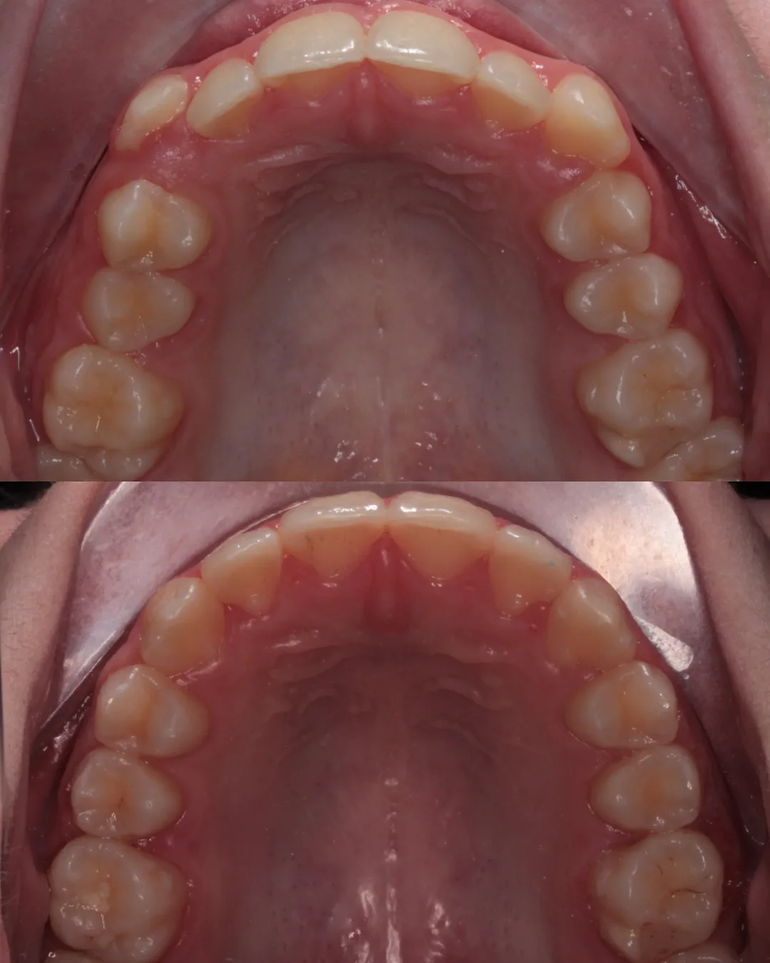
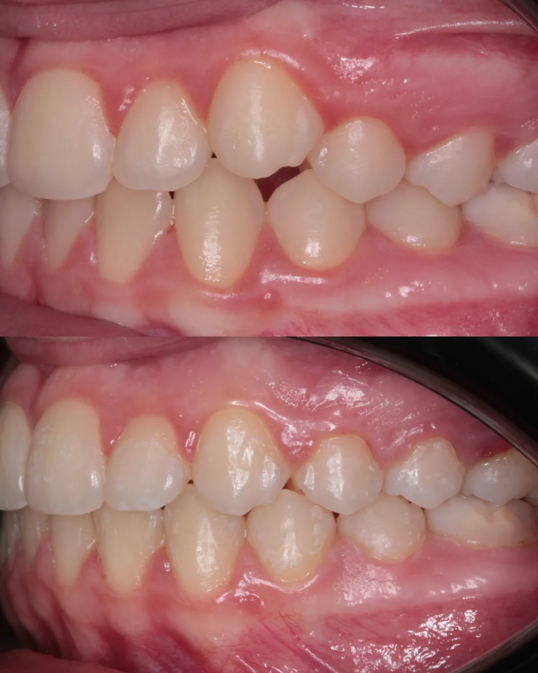
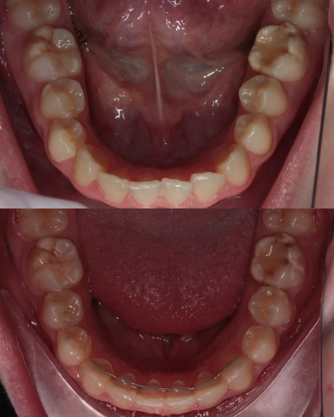
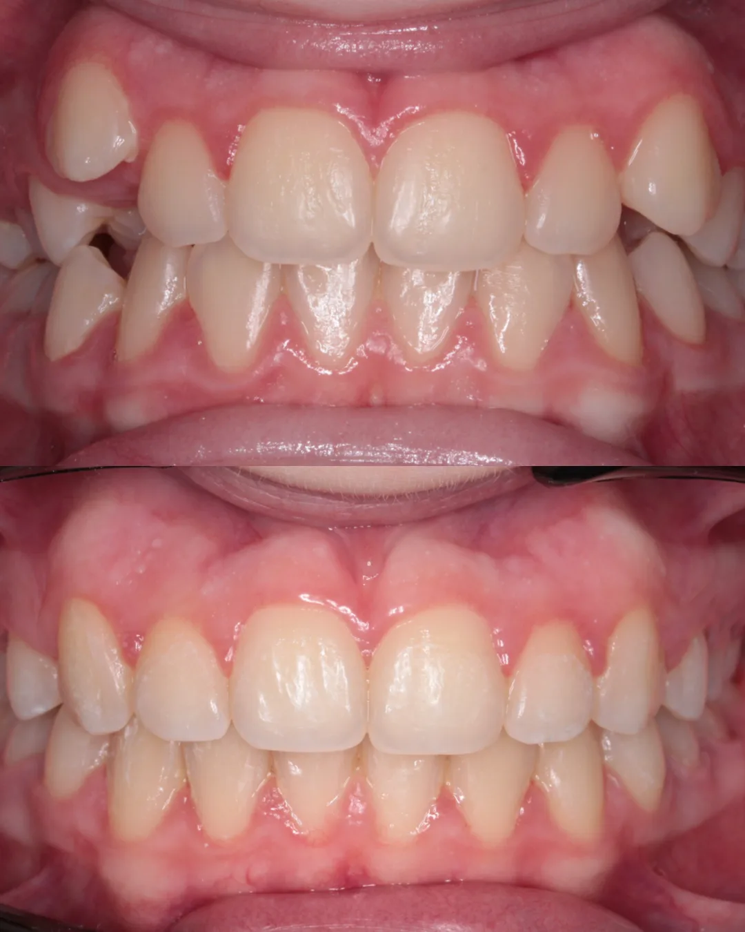
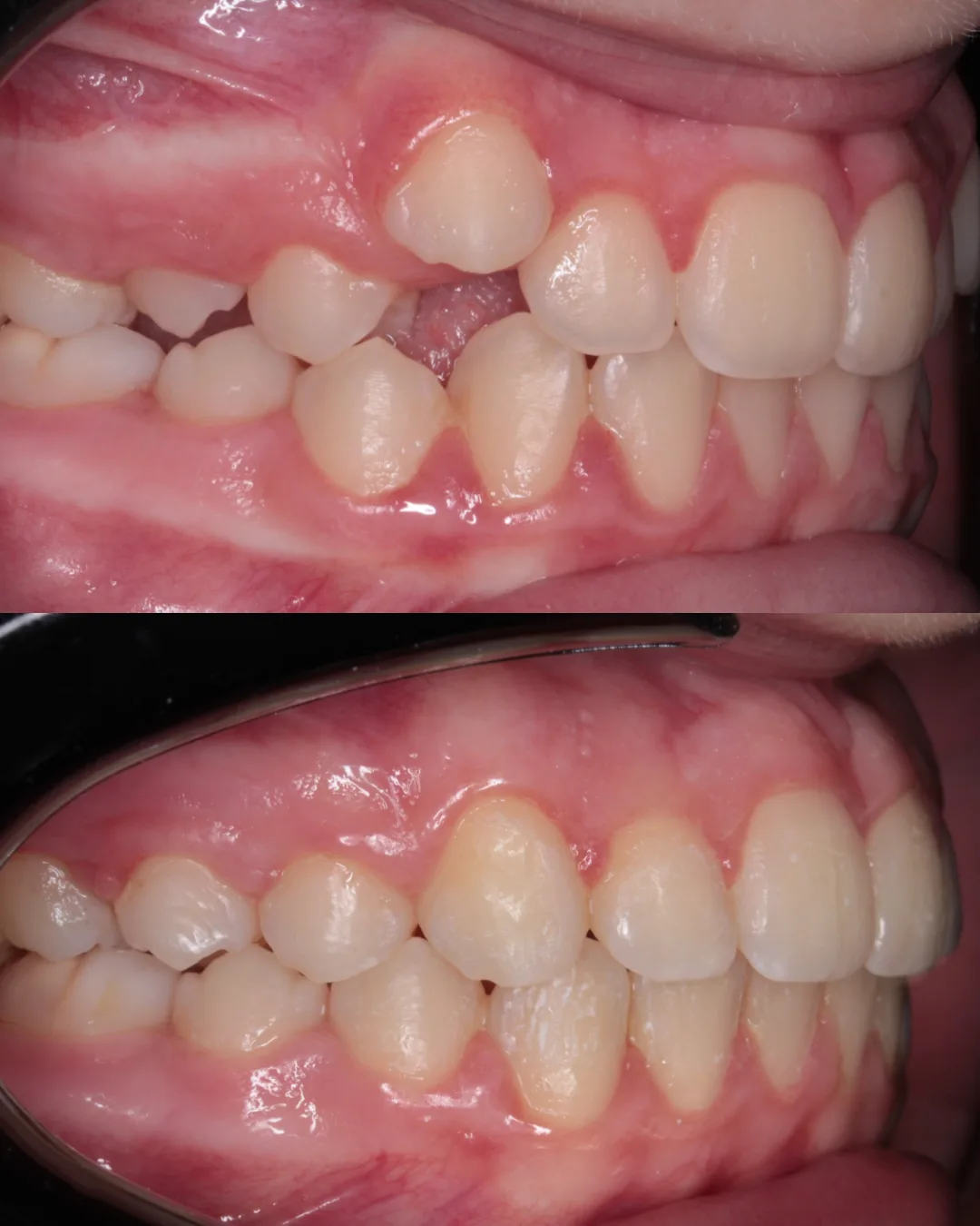
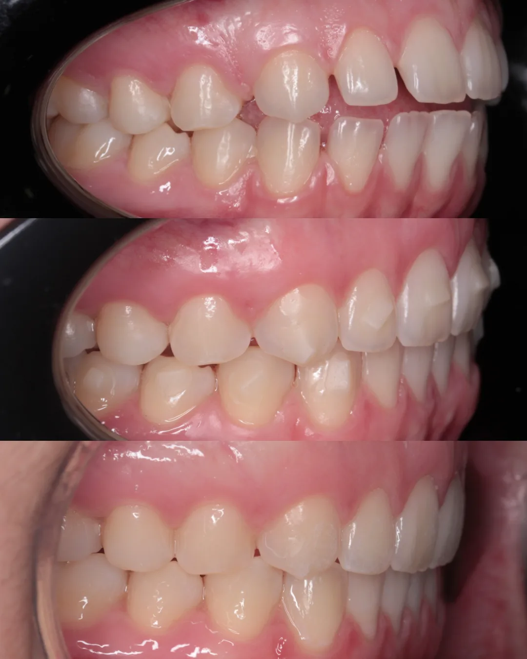
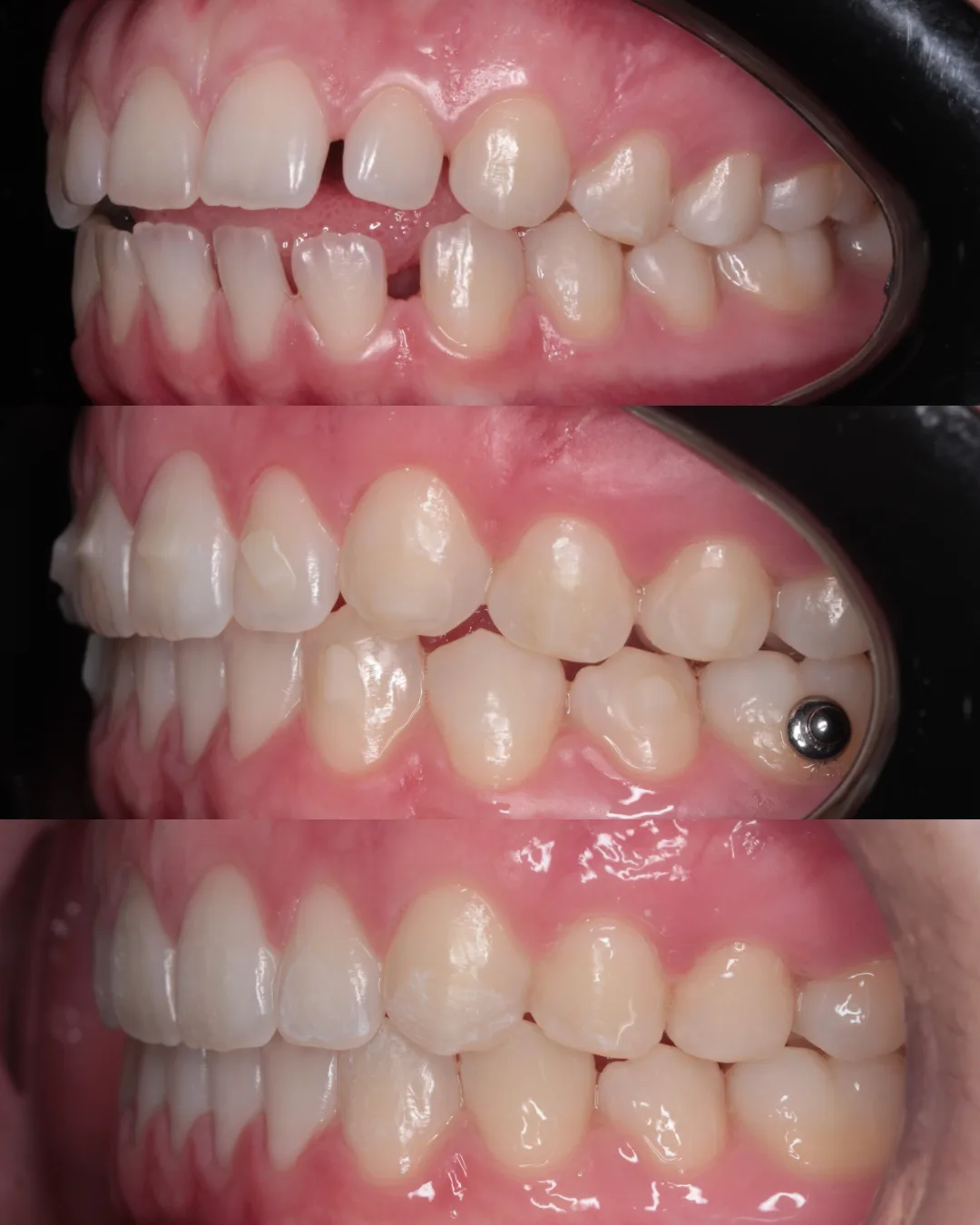
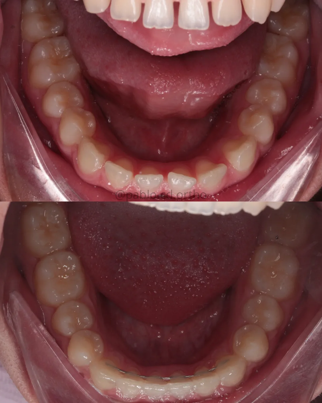
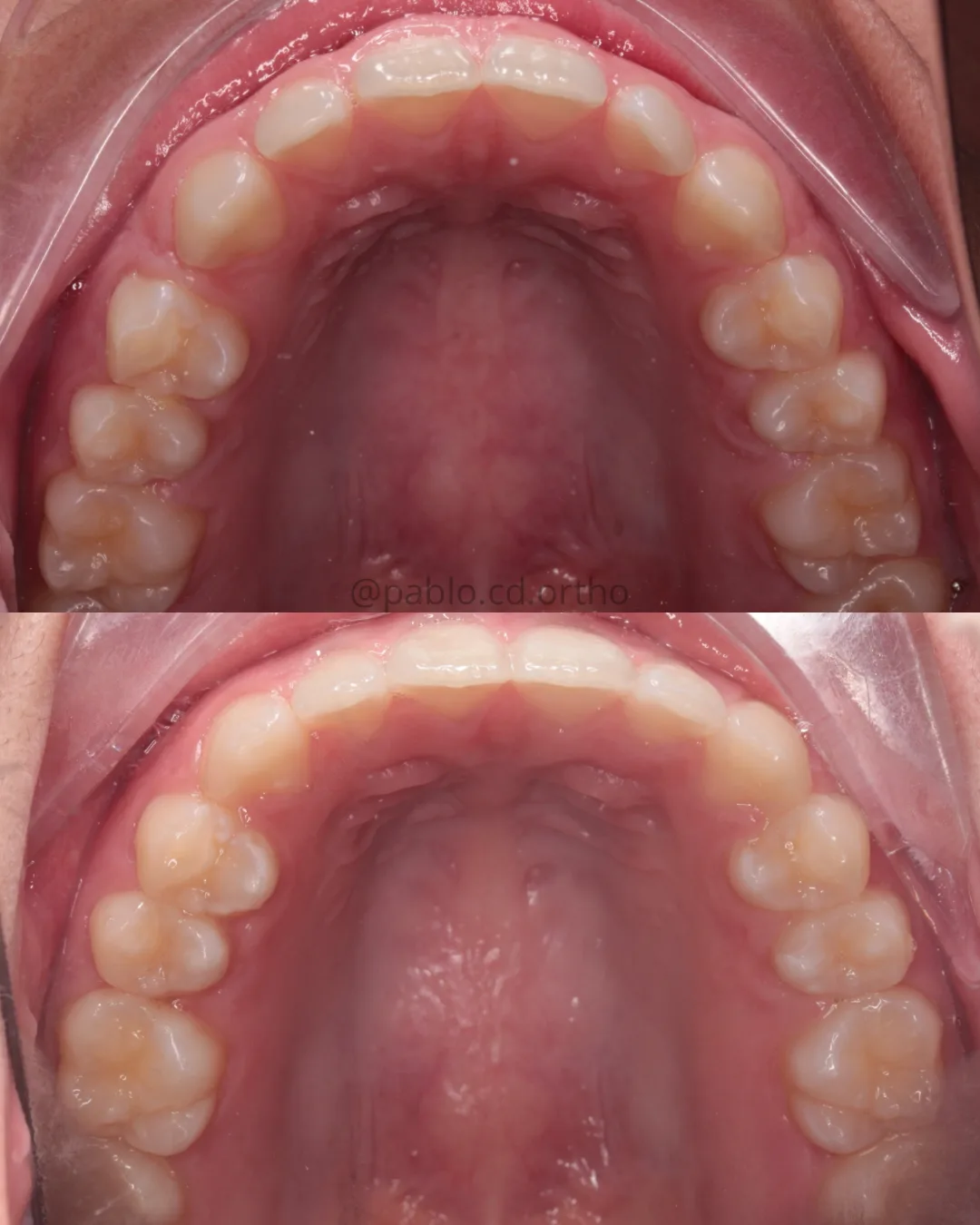
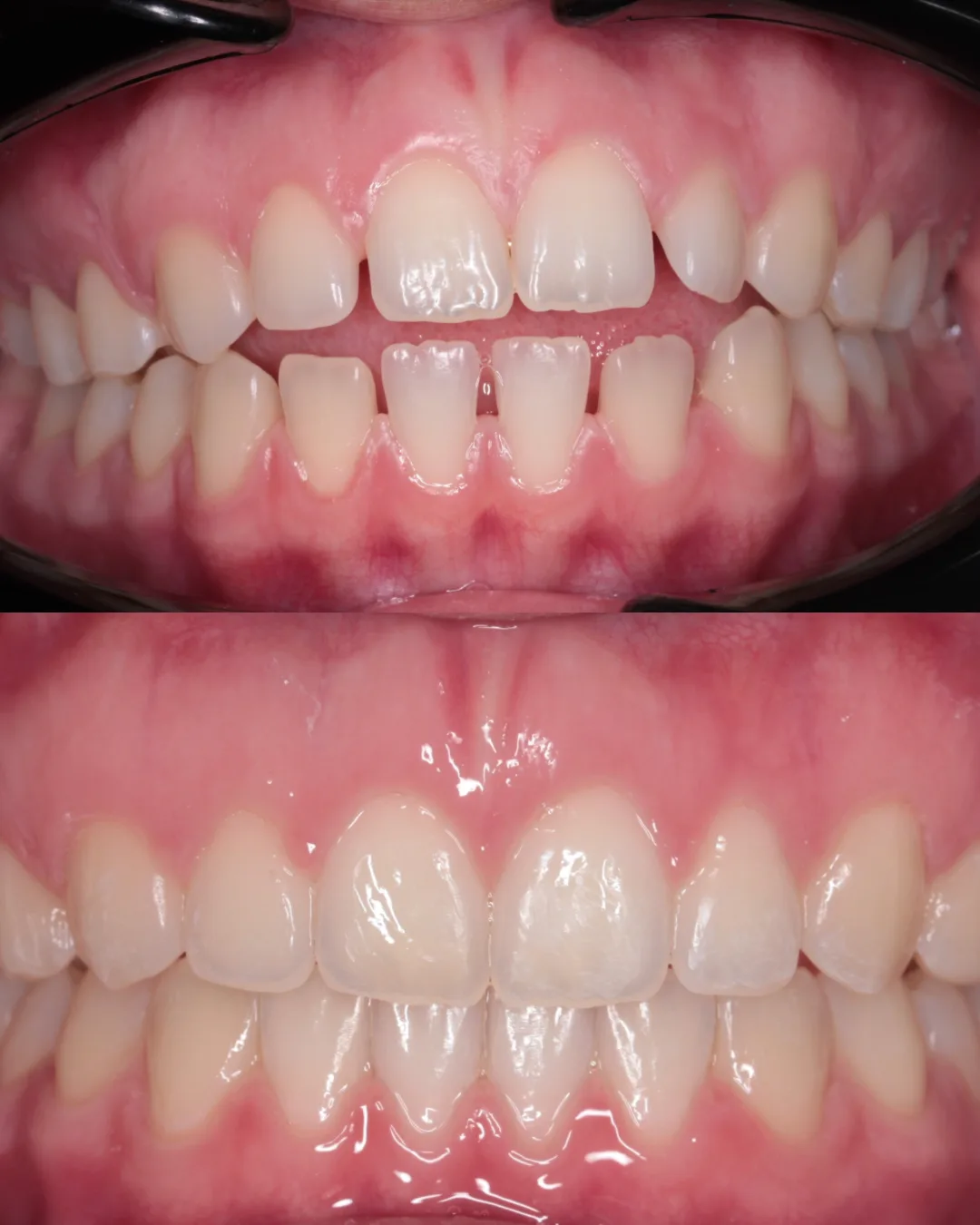
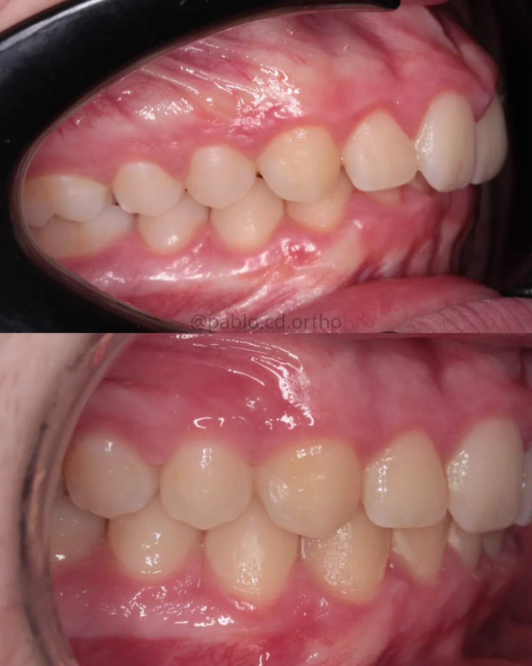
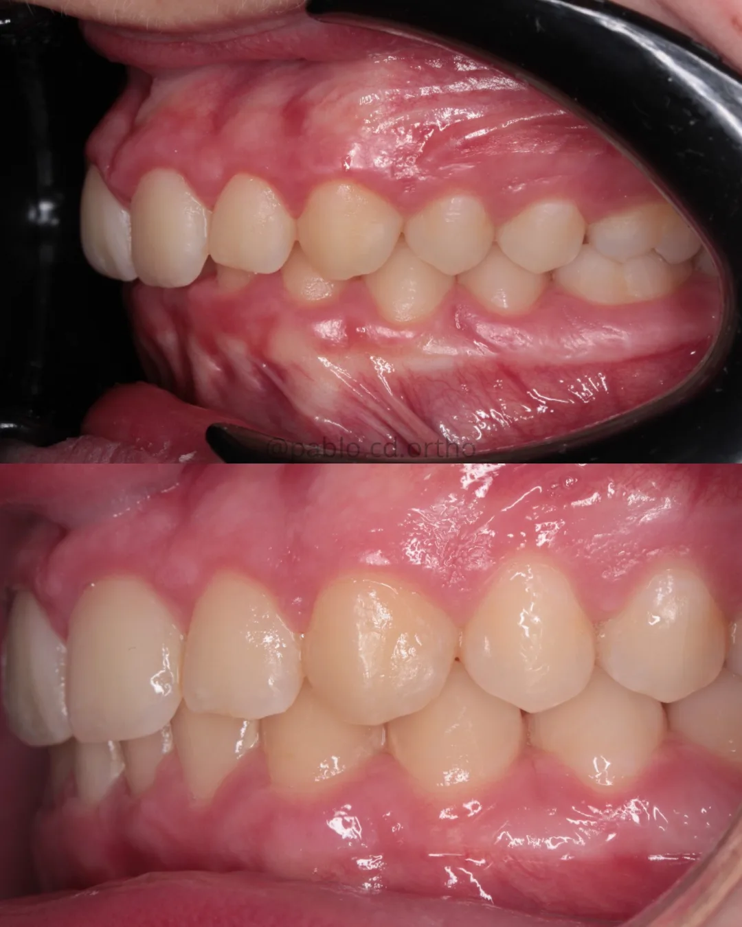
Ortodoncia Invisible
Consiste en una serie de alineadores transparentes y removibles hechos a medida que mueven tus dientes gradualmente. Esta técnica es la más avanzada, permitiendo una higiene más fácil.
Ortopedia Maxilar y Ortodoncia Infantil
Aplicamos aparatos funcionales o fijos a edad temprana para corregir desequilibrios en el crecimiento. Esto puede prevenir la necesidad de tratamientos de ortodoncia más complejos o cirugías en el futuro.
Ortodoncia con Brackets Estéticos y Metálicos
Brackets Metálicos: altamente efectiva para todo tipo de maloclusiones.
Brackets Estéticos (Cerámica/Zafiro): Funcionalidad similar a los metálicos, pero fabricados con materiales transparentes.















Entiendo que detrás de cada caso hay una persona con expectativas, miedos y un deseo de mejorar su sonrisa.
Por eso, mi trabajo va más allá de alinear dientes; se trata de escuchar, diagnosticar con precisión y ofrecer la solución más efectiva y cómoda para ti.